¿SABÍAS QUE LOS CABALLOS PUEDEN DESARROLLAR
GASTRITIS Y ÚLCERAS GÁSTRICAS?

¿CUÁLES SON LOS SIGNOS (SÍNTOMAS) DE LA GASTRITIS EN CABALLOS?

La gastritis o úlcera gástrica en caballos puede causar signos (síntomas) como la pérdida de apetito, pérdida de peso y cambios de comportamiento como irritabilidad, lo que reduce el rendimiento.

PRINCIPALES CAUSAS DE LA GASTRITIS EN EQUINOS

La gastritis en equinos se origina por la irritación e inflamación de la mucosa gástrica, generalmente asociada al estrés, una mala alimentación, el confinamiento prolongado, etc.

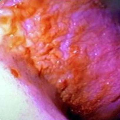
¿CUÁNDO DERIVA EN ÚLCERA GÁSTRICA?

Cuando la irritación e inflamación gástrica en equinos progresa, la mucosa del estómago se erosiona y puede desarrollar una úlcera gástrica o lesión ulcerativa.

0

CABALLOS SIN GASTRITIS
GRACIAS A OZYGASTRIC

JUAN M

Atleta de alto rendimiento

Después de usar Ozygastric® noté el cambio en solo 2 semanas. Mi caballo volvió a comer y mejoró su rendimiento en la pista. Es un tratamiento que realmente funciona."

FACTORES DE RIESGO
EN CABALLOS
CONOCE LOS MÁS HABITUALES

Estrés - Cortisol

Entrenamientos intensivos, transporte frecuente y cambios en el entorno, pueden aumentar la liberación de cortisol, lo que a su vez incrementa la producción de ácido gástrico.

Alimentación intermitente

Sin un suministro constante de forraje, el ácido se acumula en el estómago vacío, irritando la mucosa gástrica y aumentando el riesgo de desarrollar inflamación.

DIETA INADECUADA

La alimentación con grandes cantidades de concentrados ricos en almidón y la falta de forraje suficiente pueden aumentar la producción de ácido gástrico y reducir la producción de saliva, un neutralizador natural del ácido.

EJERCICIO INTENSO

Durante el esfuerzo físico, el flujo sanguíneo se redirige desde el estómago hacia los músculos y otros órganos vitales, lo que reduce la irrigación a la mucosa gástrica. Esto compromete la capacidad del estómago para protegerse del ácido gástrico.

CONFINAMIENTO EN CABALLERIZAS

El confinamiento prolongado y la ausencia de compañía social pueden contribuir al desarrollo de úlceras gástricas.

USO INDISCRIMINADO DE AINES (GLANDULAR)

Los AINEs, aunque útiles para el manejo del dolor y la inflamación, pueden reducir la producción de prostaglandinas, compuestos que protegen la mucosa gástrica.